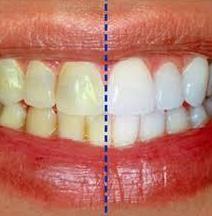
Nos dedicamos a blanqueamientos y estética dental. Deja que pongamos el punto mas bonito a tu sonrisa
Contacto
925 35 80 40
Lunes, Martes y Jueves de 10:00 a 13:00 horas
Miércoles y Viernes de 7:00 a 20:30 horas
Sábados de 8 a 13:30
Aviso legal - Política de privacidad - Política de cookies